Asi úplně první, na co se každý chovatel, který uvažuje o inseminaci své klisny, ptá, je úspěšnost zabřeznutí klisny při použití mraženého x chlazeného spermatu. Takže pro tebe, Lenko, asi dost obehraná otázka… mražené anebo chlazené?
Čerstvé (chlazené) semeno má řadu výhod: má vysokou fertilitu – životnost spermií běžně 36–48 hodin, někdy i více (záleží na kvalitě semene hřebce a vhodně použitého ředidla), je levnější, má větší objem. Jednodušeji se aplikuje při vlastní inseminaci. Čerstvé semeno se uchovává při teplotě 4–5 stupňů C. Jakýkoliv teplotní šok snižuje životnost spermií. Úspěšnost zabřeznutí klisen se uvádí mezi 80–90 %.
Mražené semeno se uchovává v dusíkových kontejnerech při teplotě mínus 196 stupňů C. Běžně se přepravuje ve speciálních, někdy jednorázových kontejnerech, kde je uchováno v dusíkových výparech. Velkou výhodou mraženého semene je využití vzácných či méně dostupných plemeníků. Má ovšem menší procento zabřeznutých klisen než čerstvé semeno, při inseminaci mraženým semenem je velmi důležité načasování inseminace – těsně před či po ovulaci. Mražené semeno má totiž zkrácenou schopnost oplození – životnost semene po rozmrazení bývá cca 6 – 8 hodin. Semeno je běžně uchováváno v tzv. pejetách o objemu 0,5 ml. Množství pejet použitých na jednu inseminaci je závislé na počtu oplození schopných spermií semene konkrétního hřebce. Běžně to bývá 2–8 pejet. Úspěšnost zabřeznutí klisen se uvádí mezi 40–60 %. Ideální způsob inseminace mraženým spermatem je tzv. deep horn inseminace, kdy se semeno aplikuje za pomoci speciálního katetru přímo do děložního rohu.

Jaké výhody má umělá inseminace ve srovnání s přirozenou plemenitbou?
Umělá inseminace klisen má řadu výhod. Eliminuje možnost zranění koní i lidí při samotném aktu připouštění. Umožňuje mnohem větší kontrolu hygieny a zdravotního stavu připouštěných klisen, zamezí přenosu pohlavních nemocí, umožní kontrolu připuštění jako takového. Velkou výhodou je načasování připuštění, mizí nutnost transportu klisny – klisna je připuštěna v domácím prostředí. Umělá inseminace eliminuje stres klisny z přepravy a případného strachu z plemenného hřebce. Kvalitu inseminační dávky – semene hřebce lze laboratorně zkontrolovat. Dávky semene lze relativně jednoduše transportovat. Z jedné inseminační dávky – jednoho odběru semene – lze při správném načasování připustit i více klisen a pošetřit tak plemenného hřebce. Neméně důležitá je finanční úspora. Velkou výhodou je mimo to i možnost využití celosvětově nejlepších plemeníků.
Lze definovat, jak klisnu připravit, abychom maximalizovali úspěšnost inseminace?
Na inseminaci je samozřejmě nutné klisnu připravit. Klisna by měla být zdravá, v dobré fyzické kondici. Důležitá je správná výživa, bez deficitu minerálů a vitamínů. Je potřeba uvážit spoustu dalších faktorů. Zda je klisna vůbec vhodná pro chov, je vhodné zvážit její původ, eventuálně sportovní či výstavní výsledky, zda je v reprodukčním věku. Je potřeba uvážit její konstituci, klisna by neměla být překrmená. Důležitý je i charakter. Do chovu by neměly být zařazeny nemocné (například astma) klisny, pokud chceme mít určitou záruku zdravého potomstva.

Folikulární vlna na vaječníku klisny
Chovná klisna by měla být pravidelně očkována dle vakcinačního schématu, aby se snížilo riziko případného abortu. Před připouštěním je třeba brát v potaz i roční období. V zimě je valná většina klisen v anestru, tedy v období, kdy na vaječnících nedozrávají folikuly, klisna necykluje. V jarním přechodném období začínají klisny cyklovat (únor/ březen), zpočátku folikuly atretizují – neovulují. Pro chov je také důležité zvážit, zda narozenému hříběti budou poskytnuty veškeré podmínky pro správný vývoj – kvalitní výživa, dostatek prostoru k pohybu, sociální kontakt s vrstevníky.
Před vlastním připuštěním – inseminací je vhodné udělat stěr z dělohy klisny – CEM, abychom měli určitou jistotu, že klisna je reprodukčně čistá a zdravá. Pokud klisna ukazuje viditelné říje, lze jednodušeji načasovat vlastní inseminaci. Abychom však správně načasovali ovulaci, je nutné klisnu vyšetřit USG kvůli detekci ovulace. Je běžné, že během jedné říje inseminační technik nebo veterinární lékař klisnu bude muset vyšetřit hned několikrát, bez USG vyšetření se ovulace detekuje velmi těžko. Při inseminaci chlazeným semenem je to jednodušší, semeno vydrží v těle klisny cca 48 hodin.
Při inseminaci mraženým semenem je potřeba klisnu vyšetřit přibližně čtyřikrát během jednoho dne (pokud chceme detekovat ovulaci) vzhledem k nízké životnosti semene. Je však velmi důležité klisnu vyšetřit, zda zovulovala, neboť v mnohých případech z různých důvodů (změna počasí, stres…) klisna ovuluje později, než bychom učebnicově předpokládali (růst folikulů a ovulaci ovlivňuje hodně faktorů). Je potřeba si uvědomit, že vajíčko klisny je oplození schopné až po ovulaci.

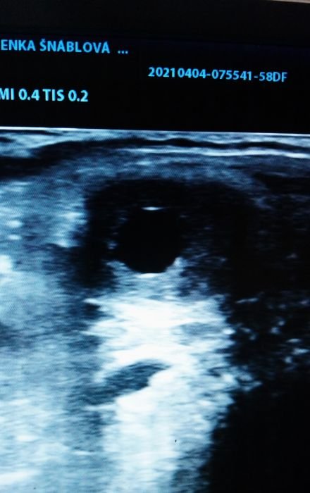
Dominantní folikul krátce před ovulací
Častým dotazem je také věk klisny – kdy klisnu ještě nepřipouštět a kdy už nepřipouštět?
Klisny začínají pohlavně dospívat (začínají ovulovat) mezi prvním a druhým rokem života. První připouštění je ale vhodné nejdříve od věku tří let, při zvážení konstituce klisny a dalších faktorů. Klisna je tělesně dospělá kolem pátého roku života. Osobně si myslím, že i pro klisnu je lepší ji poprvé připustit později. S pokročilým věkem se ale snižuje schopnost zabřezávání, zvyšuje riziko abortů, předčasných porodů, infekce dělohy. Teoreticky je tedy klisna k chovu využitelná cca 15, v některých případech i 20 let. Poté už cyklus klisny postupně mizí. Já jako chovatelka klisny po 20. roce života již nepřipouštím.

Gravidita klisny 13. den
Význam má samozřejmě i načasování – kdy volat inseminačního technika/veta k vyšetření, kdy začít připouštět?
V připouštěcím období je většina inseminačních techniků na roztrhání…:) Pokud majitel zná dobře svoji klisnu, ví, jak dlouhé má říje a je si vědom toho, že klisna ovuluje na konci říje, nemusí inseminačního technika volat často, stačí v druhé půlce říje. Bez USG vyšetření ovšem ovulaci detekujeme jen velmi těžko. Spousta chovatelů se domnívá, že stačí připustit – inseminovat klisnu jednou v říji, ovšem dělají chybu, že připouští již na začátku říje a nezkontrolují si, zda klisna zovulovala. Negativní výsledek – tedy nezabřeznutí pak často padá na hlavu majitele hřebce. Není ale tomu tak, důvodem je, jak jsem již zmínila, že klisna nezovulovala, tedy vajíčko (které je do vejcovodu vypuzeno z folikulu po prasknutí), nemělo šanci být oplodněno. Pokud má klisna tichou říji, tzn. že nejsou vidět vnější příznaky říje (blýskání aj.), je potřeba volat inseminačního technika, aby zjistil, v jakém stadiu cyklu se klisna nachází, zda není třeba těsně po říji, zda není v anestru (zimním necyklickém období), nebo zda klisna nastupuje do říje. Tohle všechno pozná inseminační technik na základě stavu dělohy (zda je edematická), velikosti folikulů na vaječnících (většinou klisně roste dominantní folikul na jednom z vaječníků), zda je či není přítomno žluté tělísko. Podle doby cyklu odhadne, kdy asi začne klisna říjet či kdy přibližně nastane doba ovulace.

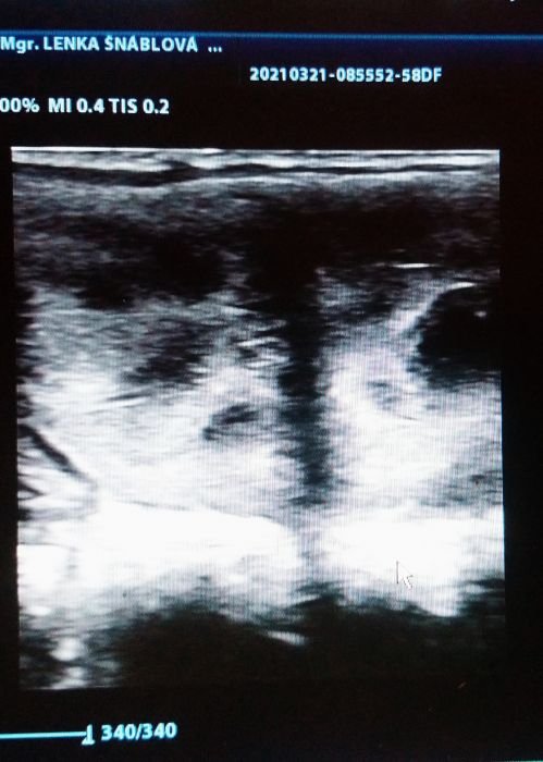
Říjová děloha klisny
Přesné zjištění ovšem bez dalšího následného USG vyšetření není možné, je tedy třeba USG vyšetření opakovat. Vím, že se opakuji, ale tohle je velmi důležité: při inseminaci chlazeným (čerstvým) semenem není potřeba vyšetření USG mnoho, ale je důležité po inseminaci zkontrolovat, zda klisna zovulovala. Při inseminaci mraženým semenem se USG vyšetření provádí přibližně každých 6 hodin (bavíme se o době těsně před ovulací, kterou předpokládáme dle velikosti a stavu folikulu 4,5 a více cm). V ideálním případě si zkušený technik pohlídá ovulaci klisny tím, že při velikosti folikulu cca 3,5 – 4 cm aplikuje hCG. K vlastní inseminaci pak dochází v době před ovulací (čerstvé semeno), v případě využití mraženého semene pak ideálně těsně před či po ovulaci. Pokud máme klisnu po ovulaci (zjištěno USG), další vyšetření, nyní již na graviditu, lze provést již od 13. dne, ideálně však 16. den po ovulaci, kdy dochází k tzv. nidaci oplozeného vajíčka, tj. uchycení na jednom místě v děložní sliznici.
Často se řeší také stimulanty. Ano, ne, proč?
Existují stimulanty, které nemohou klisně ublížit. Jedná se například o podporu říjového cyklu třeba v jarním přechodném období (či ještě v anestru) přisvěcováním – klisně se v boxe nebo paddocku nechá déle svítit, což stimuluje prodloužení délky dne (ideálně 16 hodin). Nezanedbatelné jsou doplňky stravy jako minerálně vitamínové směsi s obsahem např. selenu a vitamínu E aj., které zvyšují reprodukční schopnost. Pro dobré prokrvení reprodukčních orgánů je vhodný i třeba L-arginin. Reprodukční cyklus klisny ovlivňuje i sociální kontakt – u klisen ve smíšeném stádě nebo v blízkosti hřebce uvidíte příznaky říje dříve než ve stádě pouhých klisen.
Hormonální stimulanty: Injekční či perorální aplikace stimulantů se musí vždy pečlivě uvážit, jedná se o hormony, tedy o zásah do cyklu klisny. Každý z nich má smysl v určitém období. Z těchto stimulantů se nejčastěji používá prostaglandin. Slouží k navození nové intenzivnější říje. Je nutno ho aplikovat v případě, že bylo detekováno žluté tělísko, které je staré 6–14 dní. Nemá smysl ho aplikovat, pokud je klisna ještě v anestru, tedy vůbec necykluje – není přítomnost žlutého tělíska na vaječníku. Po aplikaci prostaglandinu nastupuje říje během 2–5 dní, k ovulaci dochází přibližně za 3–12 dní.
Mezi další stimulanty patří progesteron. Progesteron připravuje děložní sliznici na nidaci oplozeného vajíčka. V době gravidity brání před kontrakcemi, spontánním vstřebáním (abortem). Nejčastěji se aplikuje perorálně po dobu 10–12 dní v raném stadiu gravidity pro její udržení. Vaginální tělíska se u klisen neaplikují tak často.
Velmi často využívaným stimulantem je hCG (glykoproteinový hormon ze skupiny gonadotropinů). HCG zkracuje estrální (říjový) cyklus. Používá se, pokud je vidět na jednom z vaječníků dominantní folikul o velikosti minimálně 35–40 mm. K ovulaci obvykle dochází během 36–48 hodin. V této době je ideální klisnu inseminovat. Pokud inseminujete chlazeným spermatem, stačí v době po aplikaci hCG jedna dávka spermatu. Je ovšem nutné si zkontrolovat, zda klisna opravdu zovulovala do uvedených 48 hodin. V případě použití mraženého spermatu je ideální inseminovat těsně před či spíše těsně po ovulaci.
Veškeré hormonální stimulanty by měl aplikovat pouze zkušený veterinární lékař či inseminační technik.

Gravidita klisny 16. den
Každý chovatel by měl pečlivě uvážit, pro jaký druh inseminace je vhodná nejen jeho klisna, ale také jaké jsou jeho podmínky pro inseminaci. Zda je v okolí k dispozici zkušený veterinář či inseminační technik, který bezpečně detekuje fázi cyklu klisny a načasuje inseminaci v době ovulace. Pro klisnu je ideální za uvedených podmínek inseminace v domácím prostředí. Pokud chovatel nemá k dispozici odborníka na reprodukci, je vhodné klisnu odvézt k odborníkům do reprodukčního centra.
A management klisny krátce po inseminaci?
Po každé inseminaci je nutné zkontrolovat, zda klisna zovulovala, vyšetřením USG. Protože oplozené vajíčko sestupuje do dělohy cca 5. den, odborník na reprodukci by měl kontrolovat stav dělohy, v případě potřeby ji může v době před sestupem oplozeného vajíčka a před uzavřením děložního čípku vyčistit (výplach).
Pokud nedošlo ke kontrole ovulace, snižuje se šance na zabřeznutí. V době před zjištěním gravidity je vhodné klisnu zbytečně nestresovat, nepřetěžovat. Kontrolu gravidity můžeme provést již 13. den po inseminaci, ideálně 16. den, kdy dochází k uchycení oplozeného vajíčka do děložní sliznice – tzv. nidaci. Další doporučené kontroly jsou cca 35. den a 100.–120. den gravidity. V přibližně 335. den se můžeme těšit na výsledek – dlouho očekávané hříbátko. 🙂

Mgr. Lenka Šnáblová se umělé inseminaci klisen věnuje spolu se svým manželem více než 10 let. Ačkoliv je sama chovatelkou koní, vlastní chovné klisny i plemenné hřebce, všechny své klisny připouští výhradně inseminačně. Inseminace, příprava klisen na inseminaci ji vždy velmi zajímala. V roce 2014 se stala oficiálním inseminačním technikem. Každoročně vyšetří a úspěšně inseminuje několik desítek klisen různých majitelů. Od počátku se věnovala hlavně inseminaci čerstvým/chlazeným semenem, poslední tři roky se ale mnohem více zabývá inseminací mraženým semenem, a to velmi úspěšně. Službu inseminace mraženým semenem poskytuje pouze ve svém reprodukčním centru Wanted Ranch.
Ostrov Naděje v Běstvinách u Dobrušky se ponoří do sváteční atmosféry. Už tuto sobotu 13. prosince od 1...
Pět, čtyři, tři… a kruciš! Jistě víte, že si parkuroví jezdci odpočítávají cvalové skoky před odskok...