Koně a jejich kopyta v Malčanech

Nové sídlo Václava Vydry a Institutu celostní péče o koně, statek Malčany, na mapě nenajdete. Je totiž jediným pozůstatkem bývalé vsi Moráň, která skončila na dně slapské přehrady. Zachránil se jen díky tomu, že stál na kopci kousek nad vsí. Vzhledem k lokalitě už asi není třeba dodávat, že se jedná o kouzelné a velmi poklidné místo. Na statku momentálně probíhá rozsáhlá rekonstrukce, budovy mají nové střechy a dvě stodoly jsou zrekonstruovány jako volné stáje a klinika pro koně. Ke statku patří i devět hektarů pastvin, na ty z pochopitelných důvodů koně v tomto blátivém počasí nemají přístup.

pristCelou klinikou nás ochotně provedla Martina Lehoučková, jedna ze tří spolumajitelek objektu. Ukázala nám veškeré zázemí a zodpověděla všechny naše otázky. Na statku je celkem ustájeno asi 25 koní. Jsou rozděleni pouze do dvou skupin, ti, kteří jsou na tom hůře, aktuálně tři koně, jsou umístěni na klinice, což je stodola s gumovou podlahou a přilehlými prostory. Koně, kteří jsou buďto zdraví, nebo sice v léčbě, ale ve stavu, kdy jsou schopni pohybu po tvrdém povrchu, jsou ve stodole s pevnou podlahou.

První stodola je určena pro zdravé, nebo téměř zdravé koně. Má betonovou podlahu a po celém obvodu je zvenčí zbudován přístřešek. Pod ním jsou na zámkové dlažbě v držácích umístěny kulaté balíky velice hezkého sena, zakryté sítěmi s velkými oky. Díky nim koně seno ani neroznosí, ani příliš nehltají, ale mají celý den co dělat. Podél chodníku se zámkovou dlažbou je ještě pruh hlíny, takže koně, kteří preferují pohyb po měkkém, nejsou nuceni k pohybu po dlažbě. Z druhé strany budovy mají pomocí důmyslných zpevněných schodů přístup do výběhu. Součástí je i bazének k máčení kopyt.

vevnitrPro člověka, zvyklého na pohled na koně ve výběhu nebo v nastlané stáji, je pohled na koně na betonové podlaze a promenující se po zámkové dlažbě poněkud neobvyklý. Nicméně koně vypadali velmi spokojeně a ve výborném, někteří až blahobytném výživném stavu. Přesto když porovnám s (také spokojenými až blahobytnými) koňmi, které běžně vídám ve výbězích, zarážel mě poklid a absence rychlejšího pohybu. Naši koně (navzdory celodennímu výběhu a neustálému přístupu k senu) se neustále pošťuchují, okusují, pro rychlejší pohyb (a samozřejmě ani šrám) nejdou daleko. Neumím si vůbec představit, jak by dopadly podobné hrátky na tomto povrchu a mezi trámy.

U štítu stodoly byl umístěn zatím ještě nezprovozněný krmný automat. Krmný automat dokáže obsloužit jednotlivé koně na základě informací, odečtených z čipu, který má kůň na ohlávce nebo na krku. Automat vypadá tak trochu jako úzký box se žlabem. Kůň do něj vstoupí, pokud podle informací z čipu má nárok na krmení, dostane jej, jinak ne. Zajímalo mě, jakým způsobem je řešeno, aby dominantnější koně box neobsadili delší dobu a neblokovali ho pro ty méně průbojné. K tomu prý slouží zabudovaný bičík, který koně, nemajícího nárok na svou dávku, vyprovodí. A aby se hned nevrátil, na východ z automatu navazuje ulička, která ho vede kolečkem přes bazén. Velmi důmyslně zařízený systém zajišťující bezpečné krmení koní chovaných ve volném ustájení.

sydraPoté jsme se přesunuli do druhé budovy, jejíž podlaha i okolí byly vystlány měkkou, několikacentimetrovou gumou. Zde se nacházeli tři koně v léčení, kteří by měli s tvrdým povrchem problém. Podle Martiny Lehoučkové je indikací k přesunu na kliniku buďto schvácení nebo dlouhodobě zúžená kopyta. Ze tří koní na tom byla nejhůře klisna Denali, která jediná při naší návštěvě ležela a nejevila žádnou ochotu se zvednout. Jedná se o chronicky schvácenou kříženku hucula (viz níže), která pobývala nejprve rok na klinice Patrika Spieledera a na podzim byla převezena na Malčany.

Před stájí-klinikou byl opět k dispozici bazének, venkovní prostor byl také vyložený gumou a koně měli volný vstup do výběhu. Sem pan Vydra přivedl své dva valachy, Gustava a Démona, a spolu s Patrikem Spielederem pod dohledem paní doktorky Strasserové začali strouhat. Přiznám se, že pohled na kopyta Démona a Gustava, kteří prý byli asi měsíc nestrouhaní, mě trochu zarazil. Namísto, aby kopyta odrůstala v normálním tvaru, rozevírala se do talířů a utíkala před koně. Tato tendence byla výraznější než v létě, kdy jsme viděli kopyta kratší. Tehdy jsme sice viděli kopyta vystrouhaná až příliš, citlivá a zužující se, ale tento nový tvar se mi líbil ještě méně. Proč se toto děje? Pravděpodobnou příčinou je „posedlost" nulovým palmárním úhlem, tedy laicky řečeno rovnoběžností spodní hrany kopytní kosti se zemí. Protože ale je kopytní kost v zadní části podložena mj. prstním polštářem, je nulového úhlu dosahováno jedině za cenu velmi výrazného snižování patek. U Vydrových koní je provázeno i kompletním vybíráním rozpěrek a „vydlabáváním" chodidla především v jeho zadní části. Když se potom takové kopyto nechá odrůst, nejméně braná špice utíká před koně. Rohovina stěny totiž roste nejrychleji. Při tomto pohledu jsem pochopila, proč je v případě Strasser trimu tolik vyzdvihované velmi časté strouhání.

demonNezaslechla jsem žádné výtky od paní doktorky Strasser, pouze trpělivě a s úsměvem stála u obou strouhačů a kontrolovala, zda dělají vše tak, jak mají. Po vystrouhání byli oba valaši postaveni do sousedícího bazénku. Neměla jsem bohužel možnost vidět, jak by se koně pohybovali na jiném než naprosto ideálním povrchu, ale domnívám se, že si to umím představit.

Naši návštěvu shrnuje MVDr. Mach: „Jediná věc, kterou tady vidím přínosnou, je jakýsi návrat k přírodě a snaha o tvorbu ideálních podmínek pro koně. Ale vidíte, že i v těchto ideálních podmínkách se koně pohybují obtížně a bolestivě. To, co jsme dnes viděli, svědčí opět o tom, že se jedná o špatnou úpravu. Koně jsou strouhaní do bolesti, abnormálně se jim ztenčuje chodidlo zvlášť v zadní části. Rozpěrky jsou vyřezány komplet až na bílou čáru. Paní doktorka Strasserová je přesvědčena, že všichni koně mají stejný (nulový) palmární úhel a že neexistují rozdíly mezi plemeny jak je známe. Chladnokrevné typy koní nebo koně kočárové se strmou lopatkou, spěnkou a tedy i kopytem, nebo naopak anglický plnokrevník s ostroúhlým kopytem s minimální patkou, ti všichni jsou podle jejího učení nemocní a potřebují léčit ortopedickým řezem nejlépe 2x týdně. U takto "léčených" koní jsme viděli přirašplování stěny kopytní až do úrovně její poloviny. Obě tyto úpravy vedou ke ztrátám vlhkosti a tudíž k dehydrataci celého kopyta. Kopyta pak často vepředu praskají.

Koně jsou sice drženi na velmi příjemném, měkkém povrchu, ale nejsou z něho schopni bezbolestně odejít a pohybovat se. Bylo by dobré, kdyby pan Vydra byl ochoten alespoň diskutovat, a tak by bylo možno nějakým způsobem ověřit, zda tato metoda funguje, nefunguje, nebo funguje zčásti. Pro ověření metody strouhání jsme navrhli, aby si vybrali 2-3 koně a dokumentovali jejich vývoj (zda se potvrdí deklarované zlepšení). Kdyby to fungovalo, „smekneme klobouky" a metodu uznáme. Následně lze ověřit funkčnost našeho ošetřování kopyt…"

 

deliPříběh Denali

Jedná se o asi 15letou klisnu huculoida. Přestože se zpravidla snažíme pro prezentaci vybírat spíše zlatý střed, tentokrát jsme se zaměřili na tuto klisnu, protože máme k dispozici nejvíce informací i rentgeny, které ilustrují vývoj její léčby v čase. Klisna je nyní v husté zimní srsti, dobré kondici, zjevně velmi dobře krmitelná. Podle tukových ostrůvků na těle bylo evidentní, že v minulosti musela být velmi obézní. To pravděpodobně před několika lety vedlo k jejímu schvácení. V neobézním výživném stavu ji aktuálně zřejmě udržovala jen bolest a fakt, že proležela většinu času, který dříve věnovala žrádlu.

delikopVětšinu informací o Denali včetně rentgenů jsem získala při předchozí návštěvě MVDr. Mádra. Klisna je prý asi pět let chronicky schvácená a je léčena podle metody dr. Strasserové. Hodně času proleží. Poslední rok pobývala na klinice Patrika Spieledera, na podzim byla převezená na Malčany. Podle MVDr. Mádra nebyla k dispozici žádná dokumentace vyjma přiložených rentgenů. Dle MVDr. Mádra se stav nelepší: „Kopytní kost je hluboko pokleslá, zrotovaná, kopytní závěs nefunguje a evidentně léčba nepomohla. Zda bylo někdy v minulosti proraženo chodilo, nevíme, nemáme dokumentaci. Ale rentgeny neukazují žádné zlepšení. Vašek (Vydra) jen říká, že to potřebuje víc času. Což je stejné s paní doktorkou, na cokoli, co jsem řekl, odpovídala jen, že to potřebuje „mehrere Jahre."

V době naší návštěvy Denali ležela a vůbec nejevila ochotu se zvednout. Na žádost MVDr. Macha se ji paní Lehoučková snažila postavit. Což nebylo jednoduché, klisně se vůbec nechtělo vstávat. Když se konečně postavila, zaujala typický postoj těžce schváceného koně se střídavým odlehčováním předních nohou. Paní Lehoučková se nám snažila ukázat, jak se klisna pohybuje, ale během chvíle, kterou jsme ve stáji strávili, se jí to nepodařilo. Později pravděpodobně ano, ale když jsme se tudy po chvíli vraceli, už opět ležela. Na námitku doktora Macha, že schvácení koně by se měli pohybovat, jsme byli ujištěni, že kobyla chodí. Prý hodinu a půl denně se vodí. A prý i kluše: „Sama kluše. My ji k tomu nenutíme, aby klusala." Přiznám se, že si to úplně představit nedokážu, ale když to říkají…

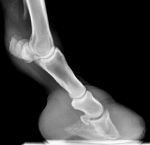
Posouzení rentgenů Denali MVDr. Jánem Machem

rtg1Na RTG snímcích (větší obrázky naleznete v galerii pod článkem) je zachycena pravá přední končetina klisny Denali, pořízená technikou nepřímé digitalizace. Bohužel tyto snímky nejsou pořízené standardně, nejen co se týče úpravy kopytního pouzdra, ale i ohniskové vzdálenosti rentgenovaného objektu. Rentgeny byly provedeny 8. 4. 2011 a 21. 1. 2012. Mezi tím tedy uběhlo 3/4 roku.

Na chronologicky prvním snímku, tj. 8. 4., byl úhel kopytní kosti o 1-2° strmější než na druhém po skoro devíti měsících léčby. Stupeň rotace odhaduji na podobný, ale těžko posouditelný, protože bylo upravované kopytní pouzdro. Tedy na prvním snímku (s řetízkem) je sklon kopytní kosti 52° a úhel stěny se po orašplování snaží kopírovat kopytní kost. Je tam jasná výplň vmezeřenou tkání. Z toho usuzuji, že schvácení je už na prvním obrázku staršího data. Díky orašplování to skoro vypadá, že tam v podstatě není rotace…

rtg2Na novějším snímku, tj. 21. 1., jsem naměřil úhel kopytní kosti 50° a úhel kopytního pouzdra ani ne 40°. To by bylo velké zhoršení (rotace o 10° je hranice se životem…), ale tady už spíše vidíme tzv. tureckou botu… tj. přírodní řešení (na snímcích není žádná nová rotace, protože tam není vzduchová komora po rotaci). Závěrem mohu říci, že lidské zásahy nepřinesly pozitivní změnu. Příroda sama by si pravděpodobně poradila lépe (turecká bota umožní návrat kopytní kosti do správné pozice).

Jako možný důvod neúspěšné léčby MVDr. Mach uvádí palmární bolestivost kopyta (koně jsou citliví na patky, krátí krok), kterou tato úprava vyvolává. Koně se nepohybují, nebo pouze leží. To u koně s chronickou laminitidou vede k tomu, že kost se z důvodu bolestivosti ,,nechce" vrátit do své správné pozice. Denali a její rentgeny jsou toho jasným důkazem.

GALERIE
PODOBNÉ ČLÁNKY

Jak bydlí Vanda Hybnerová: Domov má v Praze, ale na své koně na ranči nedá dopustit

Bydlí v Praze, myšlenkami a srdcem je ale u svých koní na ranči v Jihlavě. Herečka Vanda Hybnerová tu má sv...

To je pašáááák! Aneb jak kůň vnímá pochvalu

Energické poplácání po krku po čistě zajetém parkuru nebo třeba po nezvykle klidné reakci na injekci. Slova ...

Zůstaňte v kontaktu
info@equichannel.cz
Sledujte nás na
Důležité odkazy
Copyright 1997 - 2025 by EQUICHANNEL.cz
Webové stránky od 200solutions

Zapomenuté heslo

Přihlásit se